【いびき離婚】になる前に!今日からできる〈舌の筋トレ&治療〉方法

いびきが原因で夫婦関係にヒビが入った…という「いびき離婚」が増加中。「一緒に眠れない」から「一緒にいられない」になる前に、 “今すぐ始められる対策”から“医療レベルの本格ケア”まで徹底ガイド。実は女性も加齢とともに悩みが出るいびき、だからこそ「一緒に向き合う」ことから始めませんか?

▼あわせて読みたい
〈実録〉「いびき離婚」の現場〜女性側にも増加中【いびきセルフ診断つき】


夫婦で一緒に「舌の筋トレ」

加齢にともなって、緩んでくる口腔筋を鍛えることはいびき防止に効果大。小顔効果も抜群なので「イケメンになれるよ!」と夫婦でモチベを高めて一緒に!

◯ 教えてくれたのは…

後藤真由子先生

マイオファンクショナルセラピスト・歯科衛生士。六番町飯田クリニックにて、いびき、睡眠時無呼吸症候群の治療の一貫として口腔機能を担当している。

◇ HOT TO「舌の筋トレ」

① 舌を吸い上げて上あごにくっつける

口を開けて舌全体を上顎に吸い上げて20秒キープする。舌裏に洞窟を2つ作り、2分間繰り返す。

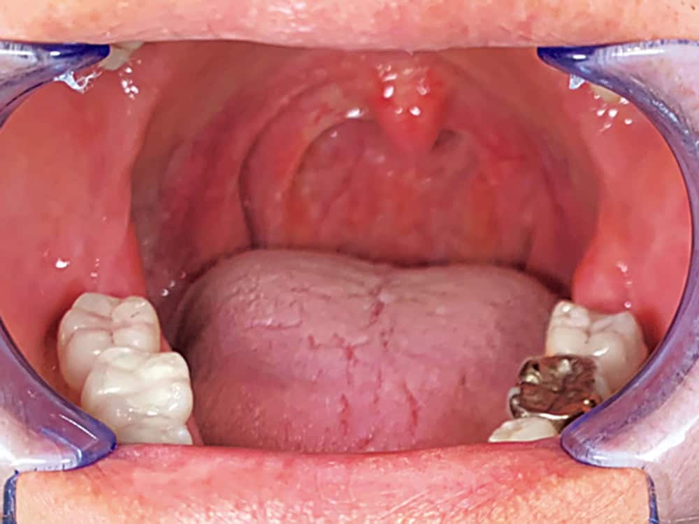
② 喉の奥で“カッ”と鳴らす

<1>
<2>

喉と舌の奥の筋肉をトレーニングすると、口蓋垂(喉ちんこのあたり)を鍛えられる。喉をしっかり上下させ音を鳴らして。

③ 舌を根元から動かして“ベー”!

舌をあごにつける気持ちで下に「ベー」と出す。舌の落ち込みを防ぐことでいびきを改善。

これができるようになったらGOAL!

口を閉じたときに、舌が上あごにくっつく定位置にきたらOK!

◯ フェイスラインもここまで変わる!

BEFORE
AFTER

口腔筋トレーニングを半年ほど続けた結果、首回りが2cm細くなり、いびきも軽減された患者さんも。小顔効果も絶大です。

大きすぎるいびきはキケンサインかも?

◯ 教えてくれたのは…

梅山 遼先生

歯科医師・医学博士。DELTA CLINIC虎ノ門 院長。医学・歯学の両面からアプローチできる数少ない睡眠歯科治療のスペシャリスト。著書多数。

◇ 医療に頼るのが正解!

いびきは健康に悪影響を与えることが多く、睡眠時無呼吸症候群は命に関わることなので「いびきの音が大きい」と言われたら、専門医を訪ねることを推奨しています。

いびきの原因は多様なので、1つの治療に偏らずに複数の治療を提供しているクリニックが安心。マウスピースは口腔外科医、歯科医が作るのですが、その場合も睡眠専門医や日本睡眠学会に所属している医師を選ぶといいでしょう。

◯ 痛みほぼゼロ・切らない施術で人気「レーザー治療」

BEFORE
AFTER

全ての人が適用になるわけでないが、レーザー照射で緩んだ筋肉が引き締まると気道も確保しやすく。口腔筋トレーニングで引き締め効果が持続。

◯ 舌の位置をずらしていびきを防ぐ!「医療用マウスピース」

世界的に主流な上下分離型マウスピース「ソムノデント」は約19万円〜と高額だが違和感は少ない。

撮影/加治屋圭斗 イラスト/香川尚子 取材/竹永久美子 デザイン/秋穂佳野 ※情報は2025年11月号掲載時のものです。

おすすめ記事はこちら

夫婦が同じベッドで寝ると、脳の働きが低下する?【睡眠の新常識】

驚異の47歳、ほしのあきさんのずっと可愛い大人でいるための美容と健康ルーティンとは

【顔筋矯正の第一人者】歳を重ねるごとに鼻がむくむ⁉〈鼻老化〉予防マッサージ5選

STORY